Tyrosinase , T311 , IgG1 - 0.5ml
Monoclonal Mouse Antibody to Human
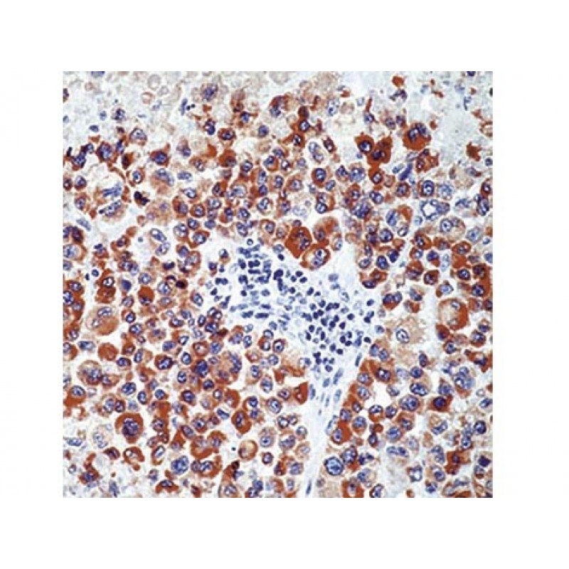
Tyrosinase, Melanoma Marker
F, P/H
Catalog No.: Mob 290 Concentrated 1ml
Mob 290-05 Concentrated 0.5ml
PDM 150 Prediluted 6ml
Immunogen: BALB/C mice were injected with a recombinant tyrosinase protein.
Clone: T311
Isotype: IgG2a
Positive Control: Melanoma
Cellular Localization: Cytoplasmic
Specificity: This antibody is specific to a cluster of proteins between 70-80 kDa known as tyrosinase. This antibody does not show any cross-reaction with MAGE-1 and tyrosinase-related protein-1, TRP-1/gp75. Staining of melanomas with this antibody showed tyrosinase in melanotic as well as amelanotic variants.
F=Frozen P=Formalin Fixed Paraffin Embedded H=Heat Induced Pretreatment E=Enzyme Pretreatment
For more information please visit the DBS website at dbiosys.com
Additional Information
|
SKU |
PAA-MOB 290-05 |
|
Pack of |
1 |
|
Color |
N/A |
|
Hazard |
N/A |
|
Storage Type |
N/A |
|
Construction |
N/A |
- Product: Tyrosinase , T311 , IgG1 - 0.5ml
- SKU:
- Availability: Pre-Order
Tags: Tyrosinase, T311, IgG1 - 0.5ml

