S-100 , 4C4.9 , IgG2a - 1ml
Monoclonal Mouse Antibody to
S-100
F, P/E
Catalog No.: Mob 377 Concentrated 1ml
Mob 377-05 Concentrated 0.5ml
Immunogen: BALB/C mice were immunized with purified bovine brain S-100 protein
Clone: 4C4.9
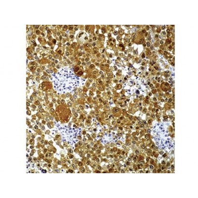
Isotype: IgG2a Positive Control: Melanoma Formalin fixed paraf embedded human noma stained with S-1
Cellular Localization: Cytoplasmic antibody (Mob 337).
Specificity: This antibody stains with S-100 protein. S-100 belongs to the family of calcium binding proteins such as calmodulin and troponin C. S-100a and S-100b proteins are two members of the S-100 family. S-100a is composed of an á and â chain whereas S-100b is composed of two â chains. This antibody stains schwannomas, ependymomas, astrogliomas, almost all benign and malignant melanomas and their metastases. This antibody cross-reacts with human, cow, mouse and rat.
F=Frozen P=Formalin Fixed Paraffin Embedded H=Heat Induced Pretreatment E=Enzyme Pretreatment
For more information please visit the DBS website at dbiosys.com
Additional Information
|
SKU |
PAA-MOB 377 |
|
Pack of |
1 |
|
Color |
N/A |
|
Hazard |
N/A |
|
Storage Type |
N/A |
|
Construction |
N/A |
- Product: PAA-MOB 377S-100 , 4C4.9 , IgG2a - 1ml
- SKU:
- Availability: Pre-Order
Tags: S-100, 4C4.9, IgG2a - 1ml

