Cyclin E , HE12 , IgG1 - 1ml
Monoclonal Mouse Antibody to Human
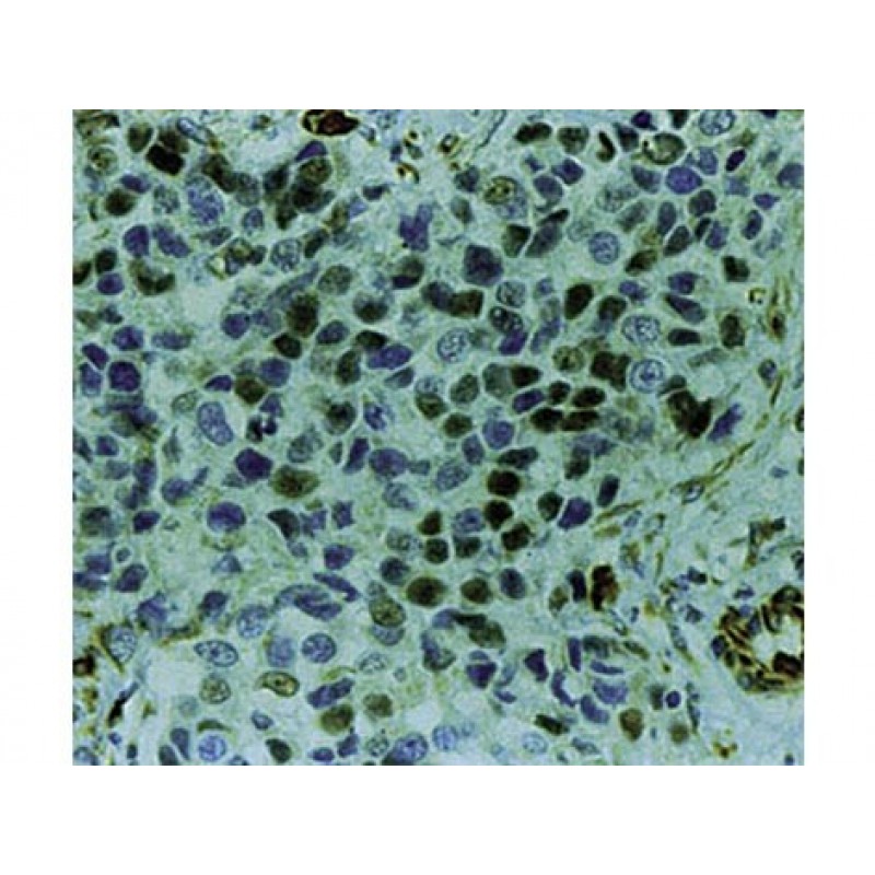
Cyclin E Protein
F, P/H
Catalog No.: Mob 266 Concentrated 1ml
Mob 266-05 Concentrated 0.5ml
PDM 145 Prediluted 6ml
Immunogen: Synthetic peptide corresponding to human cyclin E protein.
Clone: HE12
Isotype: IgG1
Positive Control: Breast carcinoma
Cellular Localization: Nuclear
Specificity: This antibody recognizes a doublet of 50 kDa and a single band of 42 kDa identified as cyclin E. Cyclin proteins are a family of related proteins, which control the progression of the eukaryotic cell cycle. Overexpression of cyclin E shortens the length of the G1 phase, accelerating progression of S phase. The activity of cyclin E is mediated through its activation of cyclin dependent kinase 2 (cdk2) protein and is modulated by the presence of tumor suppressor proteins such as p16.
F=Frozen P=Formalin Fixed Paraffin Embedded H=Heat Induced Pretreatment E=Enzyme Pretreatment
For more information please visit the DBS website at dbiosys.com
Additional Information
|
SKU |
PAA-MOB 266 |
|
Pack of |
1 |
|
Color |
N/A |
|
Hazard |
N/A |
|
Storage Type |
N/A |
|
Construction |
N/A |
- Product: PAA-MOB 266
- SKU:
- Availability: Pre-Order
Tags: Cyclin E, HE12, IgG1 - 1ml

