Cdk2 , 2B6 , IgG2b - 1ml
Monoclonal Mouse Antibody to
Cdk2
F, P/H
Catalog No.: Mob 341 Concentrated 1ml
Mob 341-05 Concentrated 0.5ml
Immunogen: BALB/C mice were injected with a human recombinant cdk2 protein.
Clone: 2B6
Isotype: IgG2b
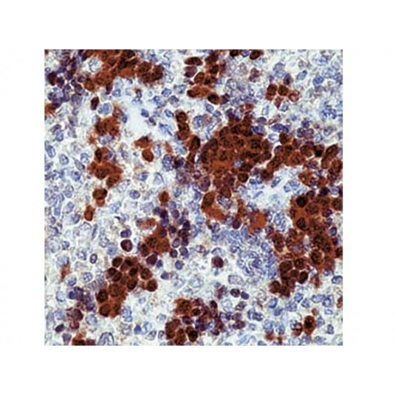
Positive Control: Tonsil
Cellular Localization: Cytoplasmic, nuclear
Specificity: This antibody reacts with a 33 kDa protein known as cdk2. Cdk-2 complexes with cyclins E, D1 and D3. Cyclin E-cdk2 kinase is active in the G1 and S-phases of the cell cycle and is important (as is Cyclin A-cdk2) for the progression from G1 to S-phase. The levels of cyclin A-cdk2 is maximal at the G1/S transition and both cdk2 and cyclin A are found associated with DNA in the initiation complex during replication. This antibody cross-reacts with mouse and rat.
F=Frozen P=Formalin Fixed Paraffin Embedded H=Heat Induced Pretreatment E=Enzyme Pretreatment
For more information please visit the DBS website at dbiosys.com
Additional Information
|
SKU |
PAA-MOB 341 |
|
Pack of |
1 |
|
Color |
N/A |
|
Hazard |
N/A |
|
Storage Type |
N/A |
|
Construction |
N/A |
- Product: PAA-MOB 341
- SKU:
- Availability: Pre-Order
Tags: Cdk2, 2B6, IgG2b - 1ml

