Adenovirus , M58+M73 , IgG2a+IgG2a - 1ml
Monoclonal Mouse Antibody to
Adenovirus
F, P/H
Catalog No.: Mob 355 Concentrated 1ml
Mob 355-05 Concentrated 0.5ml
Immunogen: BALB/C mice were injected with adenovirus.
Clone: M58 + M73
Isotype: M58, IgG2a, kappa; M73, IgG2a, kappa
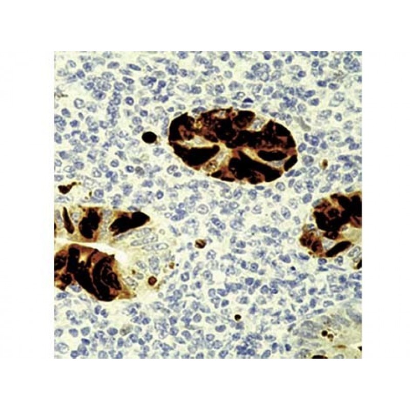
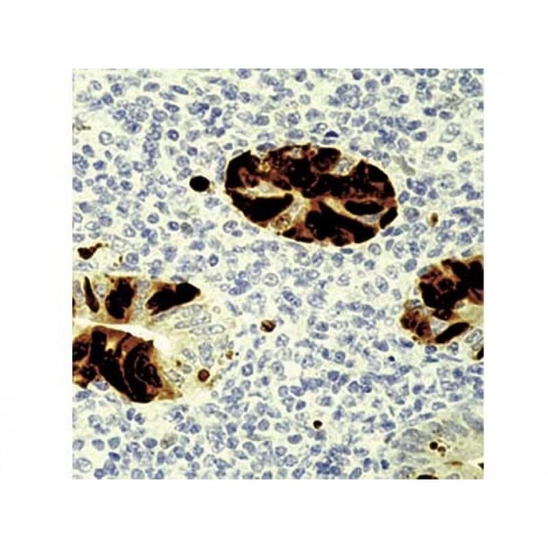
Positive Control: Adenovirus infected tissue
Cellular Localization: Nuclear
Specificity: This antibody reacts with adenovirus. The adenovirus early gene product E1A is a potent stimulator of cellular proliferation,
which when overexpressed can overcome the growth-inhibitory effects of TGF-â. The E1A region encodes a series of related proteins (35-46 kDa) with multifunctional capabilities and forms a specific complex with the retinoblastoma tumor suppressor gene product. The E1A and E1B regions together comprise the transforming region of adenovirus. While expression of E1A alone is sufficient to immortalize primary cells, complete transformation requires the additional expression of the E1B region.
F=Frozen P=Formalin Fixed Paraffin Embedded H=Heat Induced Pretreatment E=Enzyme Pretreatment
For more information please visit the DBS website at dbiosys.com
Additional Information
|
SKU |
PAA-MOB 355 |
|
Pack of |
1 |
|
Color |
N/A |
|
Hazard |
N/A |
|
Storage Type |
N/A |
|
Construction |
N/A |
- Product: PAA-MOB 355
- SKU:
- Availability: Pre-Order
Tags: Adenovirus, M58+M73, IgG2a+IgG2a - 1ml

