Monoclonal Mouse Antibody Hepatocyte , OCH1E5 , IgG1 - 0.5ml

Monoclonal Mouse Antibody to
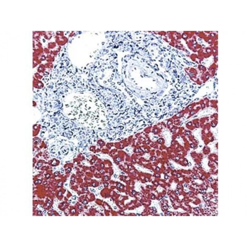
Hepatocyte Specific Antigen 
F, P

Catalog No.: Mob 426 Concentrated 1ml
Mob 426-05 Concentrated 0.5ml

Immunogen: Human liver fixed in formalin.
Clone: OCH1E5
Isotype: IgG1
Positive Control: Liver
Cellular Localization: Cytoplasmic
Specificity: Hepatoblastoma is the most common primary tumor of the liver in children. The use of specific hepatocyte markers and also of á fetoprotein or carcinoembryonic antigen are useful for the identification of normal and malignant fetal hepatocytes. This antibody recognizes an uncharacterized antigen present in both adults and fetal normal hepatocytes to produce a distinct granular cytoplasmic staining. This antibody stains majority of hepatocellular carcinomas.

F=Frozen P=Formalin Fixed Paraffin Embedded H=Heat Induced Pretreatment E=Enzyme Pretreatment

For more information please visit the DBS website at dbiosys.com

 

Additional Information


SKU

PAA-MOB 426-05

Pack of

1

Color

N/A

Hazard

N/A

Storage Type

N/A

Construction

N/A

Write a review

Please login or register to review
  • Product: Monoclonal Mouse Antibody Hepatocyte , OCH1E5 , IgG1 - 0.5ml
  • SKU:
  • Availability: Pre-Order

Tags: Monoclonal Mouse Antibody Hepatocyte, OCH1E5, IgG1 - 0.5ml