Cytokeratin H.M.W. , DE-SQ , IgG1 - 1ml
Monoclonal Mouse Antibody to Human
Cytokeratin, High Molecular Weight
F, P/E
Catalog No.: Mob 275 Concentrated 1ml
Mob 275-05 Concentrated 0.5ml
Immunogen: BALB/C mice were injected with cytoskeletal fraction prepared from human gingiva by detergent/salt extraction.
Clone: DE-SQ
Isotype: IgG1
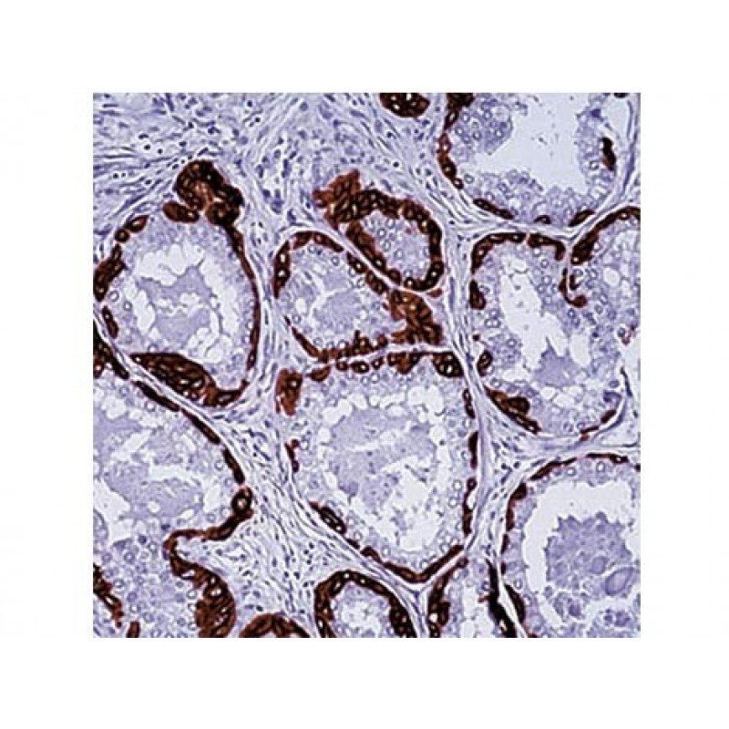
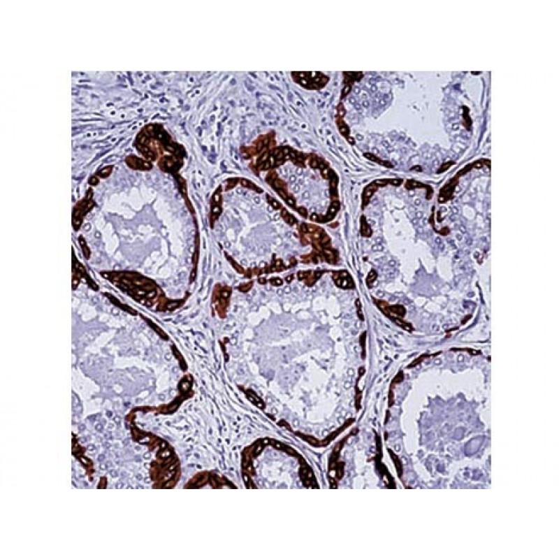
Positive Control: Skin
Cellular Localization: Cytoplasmic
Specificity: This antibody is specific to cytokeratin 13, 14, 15 and 16. This antibody stains squamous carcinomas and adenosquamous carcinomas but does not stain adenocarcinoma. This antibody is useful in differential staining of squamous carcinomas from adenocarcinomas and to differentiate benign and malignant tumors of prostate glands.
F=Frozen P=Formalin Fixed Paraffin Embedded H=Heat Induced Pretreatment E=Enzyme Pretreatment
For more information please visit the DBS website at dbiosys.com
Additional Information
|
SKU |
PAA-MOB 275 |
|
Pack of |
1 |
|
Color |
N/A |
|
Hazard |
N/A |
|
Storage Type |
N/A |
|
Construction |
N/A |
- Product: Cytokeratin H.M.W. , DE-SQ , IgG1 - 1ml
- SKU:
- Availability: Pre-Order
Tags: Cytokeratin H.M.W., DE-SQ, IgG1 - 1ml

