Napsin A , KCG1.1 , IgG1 - 1ml
Monoclonal Mouse Antibody to Human
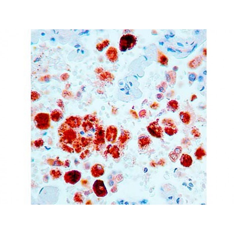
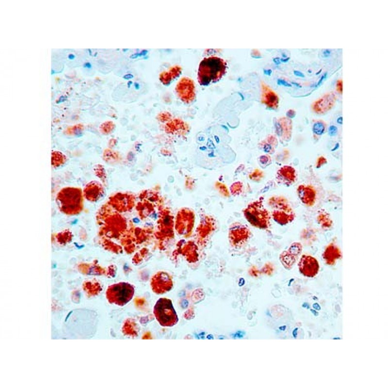
Napsin A
F, P
Catalog No.: Mob 463 Concentrated 1ml
Mob 463-05 Concentrated 0.5ml
PDM 154 Prediluted 6ml
Immunogen: BALB/C mice were injected with synthetic peptide from N terminus of human napsin A
Clone: KCG1.1
Isotype: IgG1
Positive Control: Lung adenocarcinoma
Cellular Localization: Napsin is found in two isoforms, A and B, with highly homologous gene sequences. Napsin A has a molecular weight of 35.0 kDa and is also known as TA02. Napsin A is an aspartic proteinase which is expressed in the lung and involved in processing surfactant protein B
(SP-B). It is also expressed in the kidney. This antibody may be a useful tool as a tumor marker for primary lung adenocarcinoma. Napsin expression correlates with the differentiation grade of lung adenocarcinoma.
F=Frozen P=Formalin Fixed Paraffin Embedded H=Heat Induced Pretreatment E=Enzyme Pretreatment
For more information please visit the DBS website at dbiosys.com
Additional Information
|
SKU |
PAA-MOB 463 |
|
Pack of |
1 |
|
Color |
N/A |
|
Hazard |
N/A |
|
Storage Type |
N/A |
|
Construction |
N/A |
- Product: Napsin A , KCG1.1 , IgG1 - 1ml
- SKU:
- Availability: Pre-Order
Tags: Napsin A, KCG1.1, IgG1 - 1ml

