Melanoma , HMB45 , IgG1 - 0.5ml
Monoclonal Mouse Antibody to Human
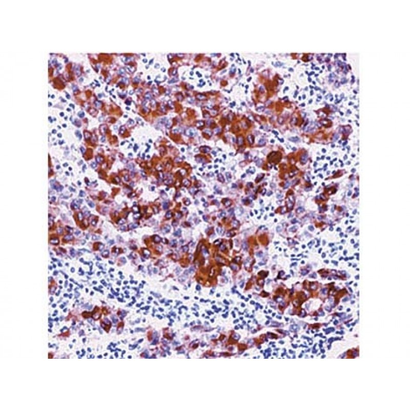
Melanoma
F, P/H
Catalog No.: Mob 079 Concentrated 1ml
Mob 079-05 Concentrated 0.5ml
PDM 011 Prediluted 6ml
Immunogen: BALB/C mice were injected with extract of pigmented melanoma metastases from lymph nodes.
Clone: HMB45
Isotype: IgG1, kappa
Positive Control: Melanoma
Cellular Localization: Cytoplasm
Specificity: This antibody reacts with a neuraminidase sensitive oligosaccharide side chain of a glycoconjugate present in immature melanosomes. It reacts with junctional and blue nevus cells. Non-melanocytic cells are negative.
F=Frozen P=Formalin Fixed Paraffin Embedded H=Heat Induced Pretreatment E=Enzyme Pretreatment
For more information please visit the DBS website at dbiosys.com
Melanoma
F, P/H
Catalog No.: Mob 079 Concentrated 1ml
Mob 079-05 Concentrated 0.5ml
PDM 011 Prediluted 6ml
Immunogen: BALB/C mice were injected with extract of pigmented melanoma metastases from lymph nodes.
Clone: HMB45
Isotype: IgG1, kappa
Positive Control: Melanoma
Cellular Localization: Cytoplasm
Specificity: This antibody reacts with a neuraminidase sensitive oligosaccharide side chain of a glycoconjugate present in immature melanosomes. It reacts with junctional and blue nevus cells. Non-melanocytic cells are negative.
F=Frozen P=Formalin Fixed Paraffin Embedded H=Heat Induced Pretreatment E=Enzyme Pretreatment
For more information please visit the DBS website at dbiosys.com
Additional Information
|
SKU |
PAA-MOB 079-05 |
|
Pack of |
1 |
|
Color |
N/A |
|
Hazard |
N/A |
|
Storage Type |
N/A |
|
Construction |
N/A |
- Product: Melanoma , HMB45 , IgG1 - 0.5ml
- SKU:
- Availability: Pre-Order
Tags: Melanoma, HMB45, IgG1 - 0.5ml

