Cytokeratin 8/18 , 5D3 , IgG1 - 0.5ml
Monoclonal Mouse Antibody to Human
Cytokeratin 8/18
F, P/E
Catalog No.: Mob 189 Concentrated 1ml
Mob 189-05 Concentrated 0.5ml
PDM 070 Prediluted 6ml
Immunogen: Cytokeratins from the human breast carcinoma cell line MCF-7.
Clone: 5D3
Isotype: IgG1
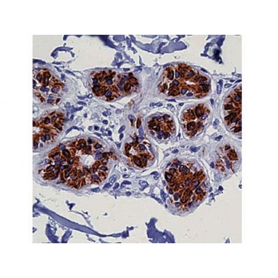
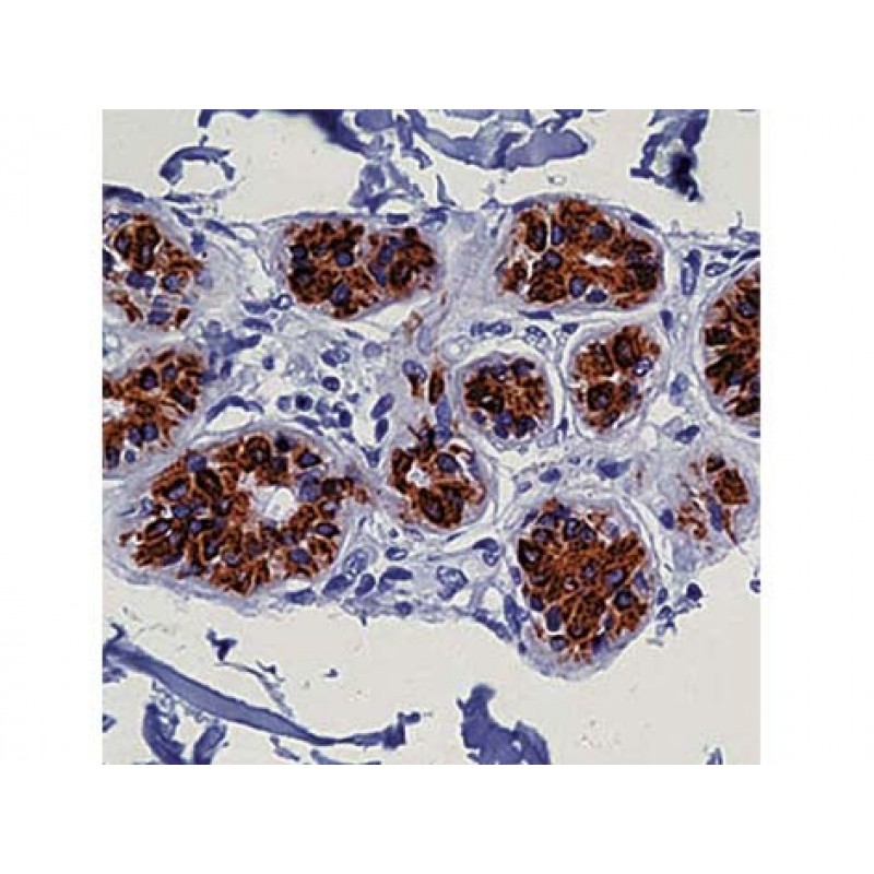
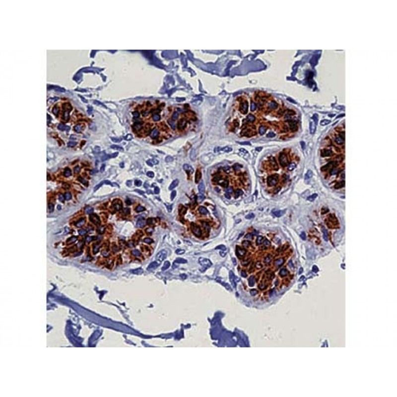
Positive Control: Skin
Cellular Localization: Cytoplasmic
Specificity: This antibody is specific to human cytokeratins 8 (52.5 kDa) and 18 (45 kDa). This antibody stains simple and glandular epithelium. This antibody can be useful for the identification of adenocarcinomas and most squamous cell carcinomas.
F=Frozen P=Formalin Fixed Paraffin Embedded H=Heat Induced Pretreatment E=Enzyme Pretreatment
For more information please visit the DBS website at dbiosys.com
Additional Information
|
SKU |
PAA-MOB 189-05 |
|
Pack of |
1 |
|
Color |
N/A |
|
Hazard |
N/A |
|
Storage Type |
N/A |
|
Construction |
N/A |
- Product: Cytokeratin 8/18 , 5D3 , IgG1 - 0.5ml
- SKU:
- Availability: Pre-Order
Tags: Cytokeratin 8/18, 5D3, IgG1 - 0.5ml

